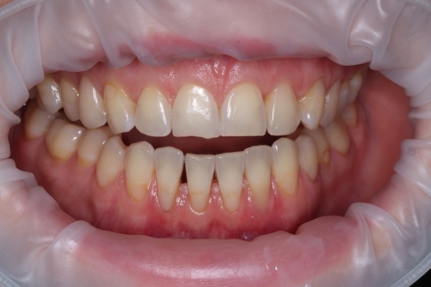
Металлокерамика — востребованное направление в несъёмном протезировании. Но оно уступает более современным методам протезирования появившимся в последние годы. При этом металлокерамика не утратила своей значимости.
Металлокерамика позволяет изготавливать как единичные коронки, так и протяжённые конструкции, мостовидные протезы. Металлокерамическая коронка представляет собой совокупность металлического каркаса внутри и керамической облицовки снаружи. Благодаря такому сочетанию, конструкции из металлокерамики обладают высокой прочностью и, в тоже время, эстетикой, ведь керамическая облицовка подбирается под цвет и форму Ваших естественных зубов! Также, сочетание прочности и эстетики позволяет изготавливать конструкции и на передние, и на жевательные зубы.
Виды металлокерамических конструкций:
- на основе кобальт-хромового сплава (КХС),
- на основе титана,
- на основе золота.





Клиника «Квалитет» оборудована новейшей техникой и материалами, необходимыми для изготовления качественных конструкций. Специалисты клиники гарантируют индивидуальный подход к каждому пациенту и всегда учитывают Ваши пожелания (если они не противоречат показаниям). Ждём Вас на консультацию и будем рады помочь!
В нашей клинике Вы можете выполнить протезирование металлокерамикой.
Мы находимся по адресу: Москва, САО, Дубнинская, 13 – точно на границе районов Дегунино и Бескудниково (Бескудниковский).
Как добраться
На машине: стоматология расположена на Дубнинской улице, проходящей рядом и параллельно Дмитровскому шоссе и Бескудниковскому бульвару.
На общественном транспорте: ближайшие станции метро – Селигерская, Петровско-Разумовская, Отрадное, Владыкино, Окружная, Верхние Лихоборы. Подробнее








Услуги и цены
Снятие оттиска1400 – 1800
Штифтовая вкладка13000 – 18000
Коронка (металлокерамика) 40000
Коронка (диоксид циркония) 45000 – 55000
Керамическая вкладка / керамический винир45000 – 65000
Коронка на имплантате48000 – 60000
Индивидуальный абатмент15000 – 24000
Съемный протез40000 – 65000
Решила написать отзыв, когда пройдет так скажем испытательный срок для моих коронок и он прошел - 2 года, как у меня стоят мостовидные протезы на имплантатах – просто замечательно все! Врач ортопед Анастасия Александровна превзошла все мои ожидания! Спасибо ей! Всему Квалитету спасибо, слаженная работа всех специалистов. Елена Романовна 21.10.2024
Ортопед Васильева А.А. восстановила зуб, который уже все списали со счетов! Огромное спасибо, доктор, за Ваш профессионализм!
По совету подруги пришла за идеальными зубами в Квалитет, к ортопеду Васильевой Анастасии Александровне, мне ее искренне рекомендовали и не ошиблась и говорю спасибо врачу и спасибо подруге! В Квалитете лучшие врачи! Асия 36 лет